Desde octubre de 2023, Dreamgenics, socio de Innovasturias, y la Asociación «Quistes de Tarlov» están llevando a cabo el primer estudio genético realizado en España para la identificación de variantes genéticas asociadas a esta patología.
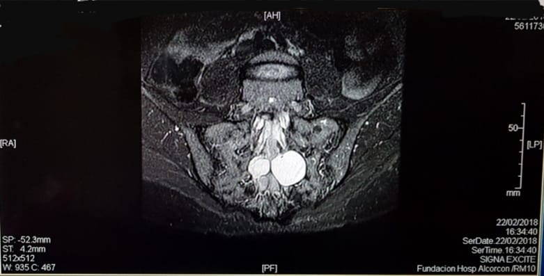
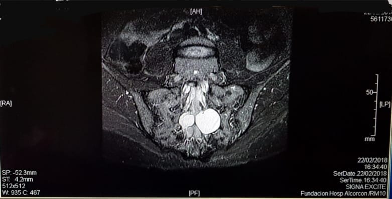
Los quistes de Tarlov son dilataciones aracnoideas de la médula espinal ocupadas por líquido cefalorraquídeo que se pueden dar a cualquier nivel de la columna vertebral, aunque lo más frecuente es que aparezcan en la parte inferior, llamada región sacra. A pesar de que es habitual su presencia en la población general, se estima que sólo un 5% de los pacientes presentan síntomas.
La presidenta de la Asociación «Quistes de Tarlov», Ana José Bravo, señala que «poder desarrollar este proyecto nos genera grandes esperanzas de futuro, no sólo a nivel curativo, sino a nivel de reconocimiento, dado que se trata de una patología infravalorada por gran parte de la comunidad científica. Esto puede suponer una gran mejora, física y mental, en la calidad de vida de pacientes actuales y futuros, y una posibilidad de prevención de la enfermedad».

Por su parte, la Dra. Leyre Larzabal, responsable de Genética Clínica en Dreamgenics, detalla cómo lo están llevando a cabo: «Realizamos la secuenciación del exoma completo y revisamos todos los genes en busca de variantes en el ADN que tengan el potencial de predisponer o ser causantes del desarrollo de los quistes de Tarlov». Además, señala que la búsqueda de estas mutaciones se está haciendo en dos fases: «En una primera fase la identificación de variantes de interés se realiza de manera individualizada, teniendo en cuenta la clínica de cada paciente. Nos centramos en los genes con mayor asociación en cada caso, de tal manera que nuestro objetivo es crear una lista de genes candidatos relacionados con esta enfermedad. En una segunda fase, se realizará una comparación entre todos los pacientes que nos ayude a identificar variantes en el mismo gen o en genes con funciones biológicas similares».

Leyre Larzabal (Dreamgenics)
Hasta el momento hay 44 pacientes incluidos, aunque la asociación alberga la esperanza de que su difusión atraiga a más pacientes de toda España. «Estamos realizando un gran esfuerzo para dar a conocer el estudio e invitamos a todos los pacientes diagnosticados que quieran participar a ponerse en contacto con la asociación», indica Ana José Bravo.
Carlos Martínez, CEO de Dreamgenics, resalta la buena conexión que tuvieron desde el primer momento: «Nos reunimos por primera vez en octubre de 2022 y desde el principio mostraron una gran confianza en nosotros y en nuestro trabajo. Por esta razón, supone una gran satisfacción para nosotros tener la posibilidad de ayudarles a intentar descubrir la causa genética de su enfermedad, y nos gustaría que sirva como ejemplo para otras asociaciones que puedan encontrarse en una situación similar y a las que estaríamos encantados de poder ayudar».


Deja un comentario